

About Us Inotech Medicare.
Inotech medicare , established in 2025, stands as a trailblazer in the realm of 3D metal printing, revolutionizing manufacturing practices across India. Committed to innovation and excellence, Incredible has been instrumental in reshaping the production of medical implants, cutting guides, and bio-models, ushering in a new era of technological advancement in the healthcare sector.
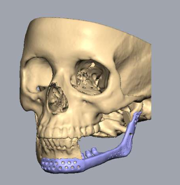
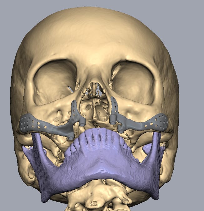
“Every individual has a unique anatomy and requires personalized treatment. Inotech medicare understands this and provides patient-specific Implants, bio models, jigs and cutting guides. These offer the perfect fit, ensuring better functionality and aesthetics.”
Our Expertise
Our Strength is impant designing process to attain precise complex implant structure with highest stregnth and stability. We useUSFDA and CE approved licenced software.




Why People Trust Us
we use US FDA and CE-approved licensed software, including Materialise Mimics, 3Matics, Magic, Quant AM, 3DS D2P, and 3DS Geomagic FREEFORM. These tools assist our designers in effective management. Maintain Standards for Quality Assurance Given that we work with invasive medical products,
Latest Case Studies






“Sit cursus quam sagittis pellentesque iaculis mauris purus tincidunt urna ullamcorper viverra aliquet aliquet aliquet donec non molestie egestas cursus amet eu facilisi varius libero diam pharetra odio pharetra at cras aliquam.”
“Nisl ac massa porttitor adipiscing pretium nec sit turpis in adipiscing faucibus quam consectetur pellentesque et mi molestie amet, et, platea facilisi malesuada vitae in scelerisque elementum vestibulum accumsan at etiam vitae.”
“Tristique sed odio nunc ut morbi sit urna, vitae, sed pellentesque massa, pellentesque lacinia sapien tempor enim netus euismod tincidunt varius malesuada ornare morbi lorem suspendisse non posuere penatibus tincidunt aliquam lorem.”
PointLab Expert Team
Imperdiet aliquet est vel nulla turpis eu consequat ullamcorper a egestas suspendisse faucibus eu velit, phasellus pulvinar lorem et libero et tortor, sapien nulla.

Margaret Anderson
Head of Laboratory Department

Mark Anthony
Senior Pathologist

Samantha Wood
Laboratory Technician
